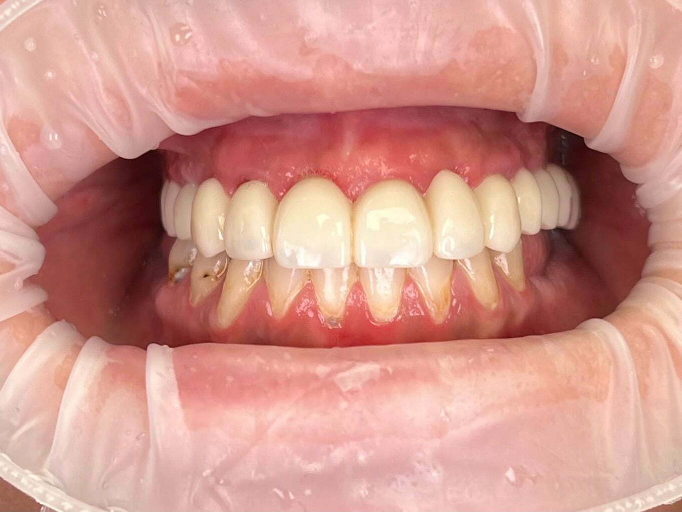
case 4a